اخصائي تركيبات الأسنان

Trio Dental Care لطب الفم و الأسنان

اخصائي تركيبات الأسنان

763
لا توجد مواعيد متاحة حاليا!

يمكنك الحجز عند الاطباء المرشحين:

إستشاري تخصص اسنان

خبرة اكثر من 12 عام استشاري طب الاسنان القصر العيني عضو هيئة تدريس سابقا ماجستير و دكتوراه تجميل الاسنان جامعة القاهرة
: محي الدين ابو العز بجوار مترو البحوث ...

سعر الكشف: 200 جنيه

الكشف بميعاد محدد

دكتور تخصص اسنان

د.مينا نبيل خبرة متميزة بعلاج الاسنان اكثر من 12 عام اخصائي علاج الجذور ( علاج العصب) و عضو بالجمعية الامريكية لزراعة الاسنان
: محي الدين ابو العز بجوار مترو البحوث ...

سعر الكشف: 200 جنيه

الكشف بميعاد محدد

تفاصيل عيادة Trio Dental Care لطب الفم و الأسنان

دكتور تخصص اسنان في الدقي, الجيزة

الدقي: شارع المروه بالدقي المتفرع من شارع السودان مقابل موقف ناهيه[...]
هذا الطبيب غير متاح للحجز حاليا

الخبرات والشهادات:

  • د /احمد سليمان
  • عضو هيئه تدريس
  • ماجستير تركيبات الأسنان - القصر العيني
  • د/ابراهيم احمد
  • عضو هيئه تدريس
  • ماجستير تركيبات الأسنان - القصر العيني
  • د/محمد صالح
  • عضو هيئه تدريس
  • ماجستير علاج لثه وزراعه الاسنان - القصر العيني

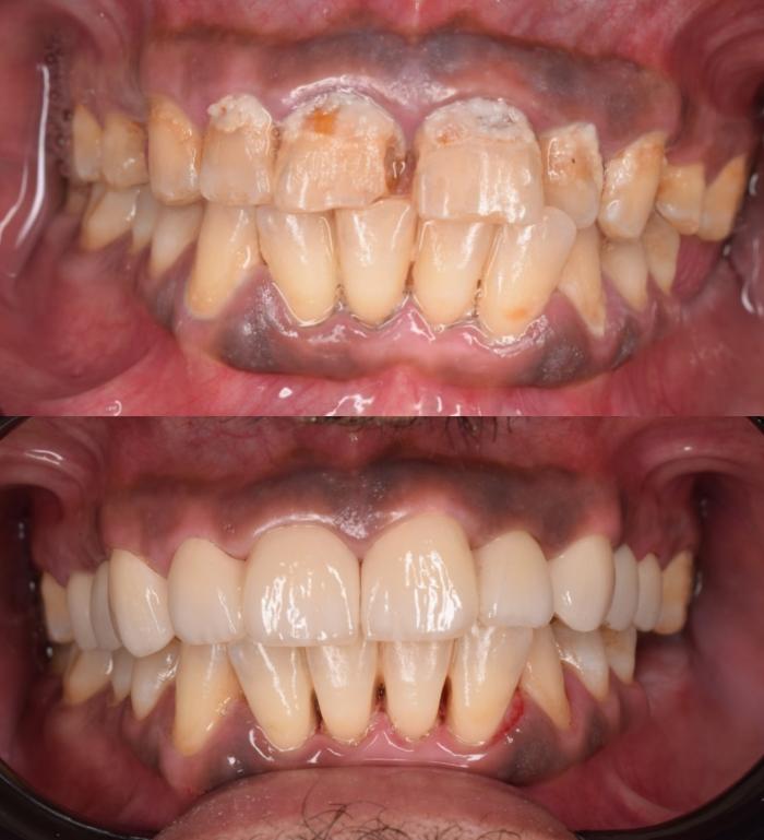
صور العيادة:


التقييمات:

كريم ع... March 27, 2025
التقييم :